Las chinches se alimentan de sangre e inyectan saliva mientras pican, para evitar que esta coagule. Algunas personas no tienen reacción a las picaduras, mientras que otras experimentan reacciones alérgicas que en ocasiones pueden ser graves.
Hoy se cumplen
desde que nuestras instalaciones fueron tomadas y nuestro gerente general Juan Lorenzo Holmann fue detenido.
con las instalaciones tomadas y nuestro gerente general Juan Lorenzo Holmann detenido.
Las chinches se alimentan de sangre e inyectan saliva mientras pican, para evitar que esta coagule. Algunas personas no tienen reacción a las picaduras, mientras que otras experimentan reacciones alérgicas que en ocasiones pueden ser graves.
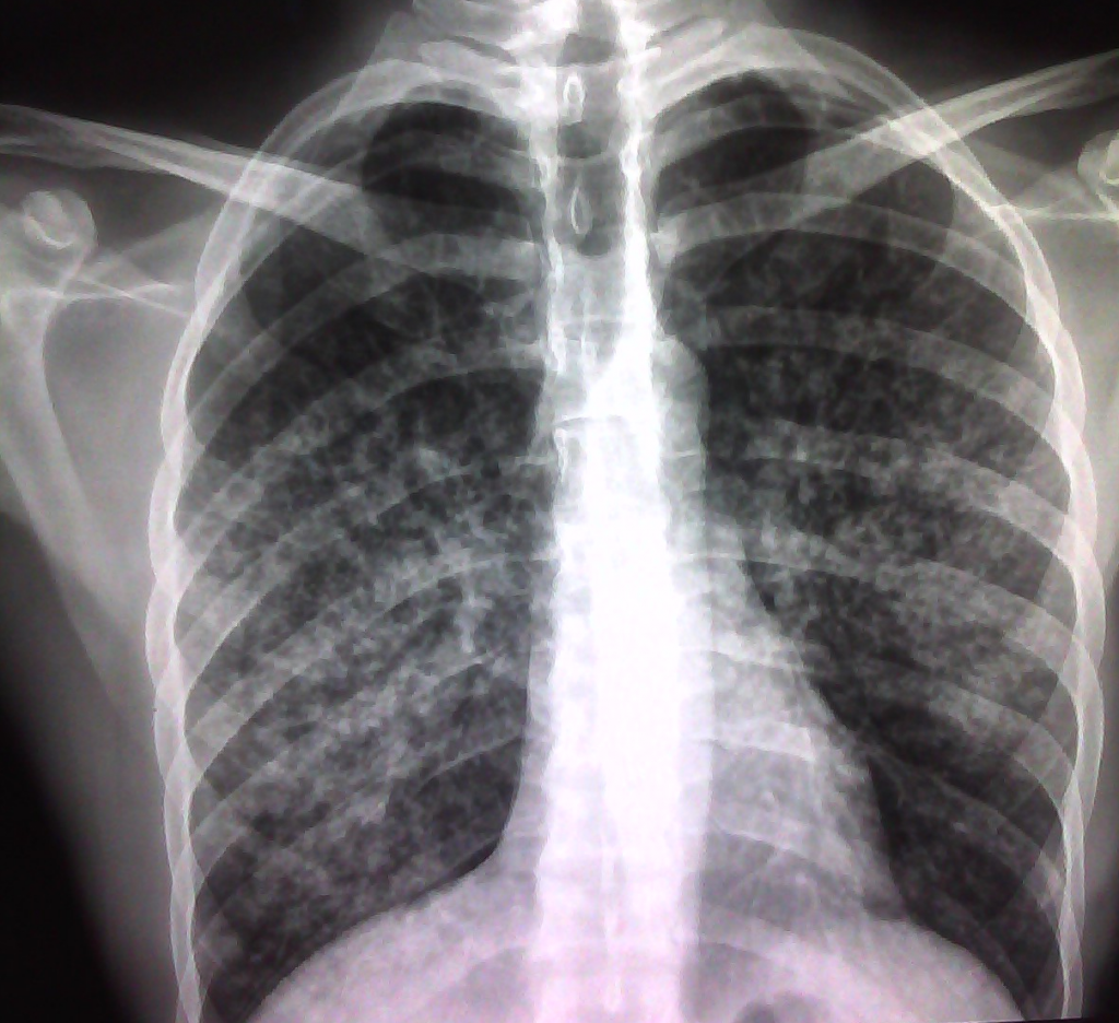
En concreto, los investigadores han estudiado un tipo de adenocarcinoma de pulmón cuyos pacientes tienen una mutación en el gen KRAS, el cáncer más perjudicial de todos los de ese órgano.
La OMS dijo que las prácticas sexuales seguras contra el zika incluyen el uso correcto y regular de condones, que consideró el método más efectivo para la protección contra enfermedades de transmisión sexual.